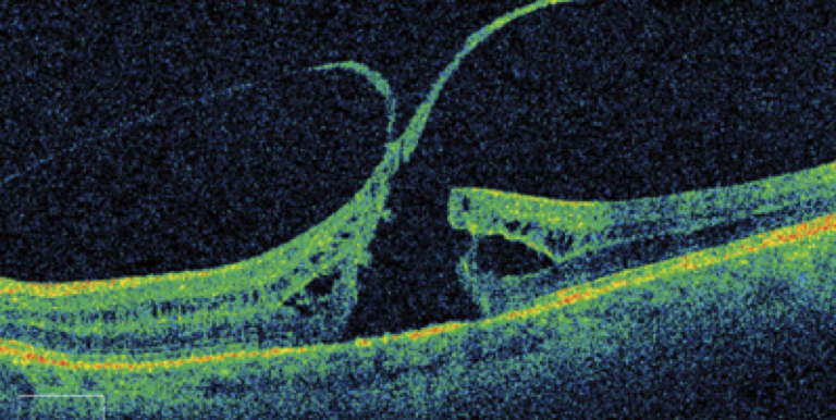
Macular Holes are a foveal full thickness defect or gap in the retina, which can also have associated cystoid macular edema. The macula is located in the center of the retina, it's primary function is to provide central and fine detail vision which is essential for simple day-to-day tasks such as reading. A macular hole in it's premature stages can cause blurry or distorted sight, straight lines may appear wavy to the patient and they may have difficulty reading small print. In an advanced stage macular hole, the patient may notice a black patch or gap in their central vision, macular holes are typically painless and do not lead to complete loss of vision. The cause of a macular hole is usually unknown, the condition typically affects patients aged between 60 and 80 years old and is more common in women compared to men. Although there is typically no identifiable cause of a macular hole, there are some risks factors that have been affiliated with it, these include previous severe injury to the eye, being very myopic (short-sighted), persistent swelling of the retina as a result of underlying conditions such as diabetes or previous eye surgery and vitreomacular traction, which is the pulling of vitreous jelly in the middle of the eye away from the macula and retina at the inferior of the eye caused by age, some of this vitreous jelly may still remain attached which can lead to a macular hole.

Add comment
Comments